Megtekintések: 16 Szerző: Site Editor Közzététel ideje: 2022-08-27 Eredet: Telek
Az extensor ín szakadása a voláris lemez rögzítése után továbbra is jelentős probléma a distalis radius törések helyreállításában. A leggyakrabban érintett ín az extensor pollicis longus (EPL) ín, mivel az EPL-barázdán belül van. Az EPL ínszakadás előfordulási gyakorisága voláris bevonat után 0,29–5,7%.
A késleltetett EPL-ínszakadás kockázata megnő a hátsó csavar kiemelkedése, az intraoperatív közvetlen fúrásból származó sérülés és a háti tetőtöredékek jelenléte, különösen a Lister-tubercle szigettörései esetén. A distalis radius töréseknél a csavar kitüremkedésének radiográfiás értékelése nehézkes a distalis radius összetett geometriája és a dorsalis törések lehetősége miatt. A dorsalis tangenciális nézet az egyetlen lehetséges intravitális nézet a dorsalis radiális kéregről, amellyel megbízhatóan felmérhető a csavar hegye és a dorsalis kéreg közötti távolság.
Az extensor ín sérülésének elkerülésére szolgáló technikák közé tartozik a monokortikális csavarok használata és a dorsalis felszíni behatolás elkerülése; ezek a technikák azonban csökkenthetik a törésjavítás mechanikai stabilitását. Ezért néha bikortikális rögzítésre van szükség. Az extensor ín sérülésének kockázatának minimalizálása érdekében a törésrögzítés és a stabilitás elsődleges céljait nem szabad veszélyeztetni.
Leírunk egy új technikát az EPL ínszakadás kockázatának minimalizálására a distalis radius törések voláris lemezes rögzítése után a csavar hosszának lerövidítése vagy a dorsalis tetőtöredékek eltávolítása nélkül. Röviden, a technika magában foglalja a harmadik rekesz kinyitását egy kis háti bemetszéssel.
Ha a csavar behatolt a hátsó kéregbe, és a harmadik rekeszben kinyúlt: eltávolítottuk az EPL-ínt a hornyából, és a rekeszt úgy zártuk le, hogy az EPL-ínt a javított retinakulumon hagytuk el.
Ha a csavar nem nyúlik be a harmadik rekeszbe: az EPL-ínt a harmadik rekeszben hagyjuk. A mi technikánk indikációja a distalis radius törésben szenvedő betegeknél, akiket voláris rögzítő lemezekkel kezelnek, dorso-parietális töredékekkel vagy csavarokkal, amelyek behatolhatnak a dorsalis cortexbe, vagy károsíthatják a Lister-tuberculus körüli EPL-ínt. A dorsomedialis fragmentumokkal járó distalis radius törések esetén lyukakat fúrunk a dorsalis cortexbe, és megfelelő hosszúságú csavarokat választunk az instabil dorsomedialis fragmentumok rögzítésére.
Megosztunk egy olyan esetet, amikor az EPL-ínt a harmadik rekeszben lévő csavar kiemelkedése miatt távolították el a harmadik rekeszből egy aprított disztális radius törés dorsomedialis fragmentumokkal történő lemezes rögzítése során. Megerősítettük, hogy az EPL ín sértetlen volt 7 évvel a műtét után, bár a csavar a harmadik rekeszben kiemelkedő volt.
Az eset egy 67 éves nő volt, akinél intraartikuláris instabil distalis radius törést diagnosztizáltak jobb oldali dorsalis medialis töréssel (1A-E ábra). Nincs dohányzás, cukorbetegség vagy alkoholfogyasztás. Sétáló nélkül is tud járni.

1. ábra A preoperatív képalkotás a distalis radius intraartikuláris törését mutatta.
A és B: Preoperatív röntgen,
C és D: a komputertomográfiás képek sagittális és axiális képe,
E: 3D számítógépes tomográfia kép. Dorsalis mediális lunate facet fragmentumok és dorsalis apikális töredékek (fehér csillagok) láthatók.
Ezt a törésrendszert voláris zárólemezzel kezeltük. Intraoperatívan átfúrtuk a dorsalis kérget, és kiválasztottunk egy elég hosszú csavart a dorsalis kéreg rögzítéséhez, mivel a dorsomedialis fragmentum instabil volt (2. ábra).
Sebészeti beavatkozást végeztek a harmadik rekesz kinyitására a csavaros rögzítés után.
Mivel a csavar behatolt a harmadik rekeszbe és kiállt (3A. ábra), nyissa ki teljesen a harmadik rekeszt, és húzza ki az EPL-ínt a hornyából (3B. ábra).
A harmadik rekeszt ezután a retinakulum összevarrásával lezártuk (3C., D. ábra), és az EPL-ínt a javított retinakulum fölé helyeztük (3.E. ábra).
A műtét után a beteg a csont gyógyulásáig kórházunk ambulanciájára került. A páciens nem kívánja eltávolítani a hardvert.
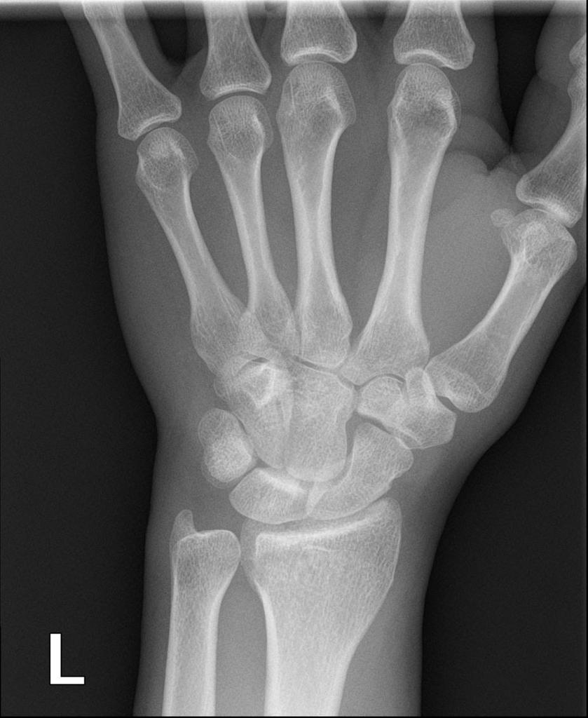
Hét évvel a műtét után a beteg csontritkulás miatt újra kivizsgálásra került a kórházba. A jobb kéz nincs letiltva. Röntgenfelvétel, amelyen begyógyult törés látható a disztális rögzítőcsavar dorsalis kiemelkedésével. A páciens hüvelykujja teljesen ki volt nyújtva, és az EPL-ínnek nem volt nyilvánvaló íjszála.
Javaslatunkra a páciens beleegyezett a hardver eltávolításába és az extensor inak vizsgálatába. Intraoperatívan megvizsgáltuk az EPL-ínt egy dorsalis bemetszéssel, és részben kinyitottuk a harmadik és negyedik kompartmentet.
Az EPL ín a harmadik rekeszen kívül helyezkedett el, ugyanabban a helyzetben, mint az előző műtétnél, és az ín nem irritált.
Megerősítettük, hogy a csavar a harmadik rekeszbe az ujjak extensor inak behúzásakor került be.
Végül rögzítettük a tartóhevedereket és eltávolítottuk a hardvert. A végső értékelésnél 2 hónappal a hardver eltávolítása után a páciens fájdalommentes volt, és teljesen kinyújtotta a hüvelykujját.
Megközelítésünkben a distalis radius törések voláris lemezes rögzítése után a harmadik rekeszt részben kinyitottuk egy kb. 2 cm hosszú ulnaris bemetszésen keresztül a Lister-tubercle felé. Közvetlenül azonosítottuk az EPL-ínt és a harmadik extensor-rekesz padlóját az EPL-ín finom visszahúzásával.
Ha a csavar behatolt a dorsalis kéregbe a harmadik rekeszbe, vagy dorso-parietalis törmeléket tartalmazott, akkor nem végeztünk intraoperatív csavarpótlást vagy fragmentectomiát, hanem teljesen kinyitottuk a harmadik rekeszt és eltávolítottuk az EPL-ínt a hornyából. Ezután lezártuk a rekeszt a retinakulum összevarrásával, miközben az EPL-ínt a harmadik rekeszre helyeztük át.
Ha a csavar nem nyúlt be a harmadik rekeszbe, akkor az EPL-ínt a részben nyitott harmadik rekeszben hagytuk.
Sebészeti technikánk lehetővé teszi az EPL ínsérülések egyszerű vizsgálatát közvetlen vizualizációval, mindössze további 10 perc alatt. Ha az EPL-ín megsérül, közvetlenül megjavítható. Ez az eljárás segít megelőzni a másodlagos EPL-ínszakadást a distalis radiális lemezrögzítés után. Előfordulhat EPL ín íjszál, de esetünkben nem fordult elő.
Tapasztaltunk olyan esetet, amikor az EPL ín sértetlen volt a műtét után 7 évvel, bár a voláris lemez rögzítéséhez használt csavarok a harmadik rekeszben kiemelkedőek voltak. Sebészeti technikánk minimalizálja az EPL ínszakadás kockázatát a distalis radius törések voláris lemezrögzítését követően.
Mert A CZMEDITECH nagyon komplett ortopédiai sebészeti implantátumok és megfelelő műszerek termékcsaláddal rendelkezik gerinc implantátumok, intramedulláris körmök, trauma lemez, zárólemez, cranialis-maxillofacialis, protézis, elektromos szerszámok, külső rögzítők, artroszkópia, állatorvosi ellátás és az azt támogató műszerkészletek.
Emellett elkötelezettek vagyunk az új termékek folyamatos fejlesztése és a termékvonalak bővítése iránt, hogy minél több orvos és beteg sebészeti igényeit elégítsük ki, és versenyképesebbé tegyük cégünket a teljes globális ortopédiai implantátum- és műszeriparban.
Világszerte exportálunk, így Ön is megteheti lépjen kapcsolatba velünk a song@orthopedic-china.com e-mail címen ingyenes árajánlatért, vagy küldjön üzenetet a WhatsApp-on a gyors válaszért + 18112515727 .
Ha többet szeretne tudni, kattintson CZMEDITECH további részletekért.
Distális sípcsont köröm: áttörés a disztális sípcsonttörések kezelésében
A 10 legjobb disztális sípcsont intramedulláris köröm (DTN) Észak-Amerikában 2025 januárjában
Zárólemez sorozat - Distális sípcsont-kompressziós reteszelő csontlemez
A 10 legjobb gyártó Amerikában: Distális humerus zárólemezek (2025. május)
A proximális sípcsont oldalsó rögzítőlemezének klinikai és kereskedelmi szinergiája
Műszaki vázlat a distalis humerus törések lemezes rögzítéséhez
Az 5 legjobb gyártó a Közel-Keleten: Distális humerus zárólemezek (2025. május)
A 6 legjobb gyártó Európában: Distális humerus zárólemezek (2025. május)