Views: 0 Author: Site Editor Publish Time: 2025-10-30 Origin: Site
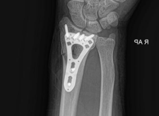
At Tlalixtac de Cabrera State Hospital, Mexico, a distal radius fracture surgery was successfully performed using a VA Distal Radius Locking Plate provided by CZMEDITECH, a leading orthopedic implant manufacturer from China.
The operation, led by Dr. José Alfredo Rios Melchor, achieved precise anatomical alignment and rapid patient recovery — highlighting how modern trauma fixation systems are improving outcomes across Latin America.
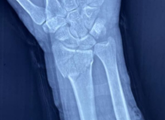
A 53-year-old patient sustained a radius fracture near the wrist after a fall. The medical team opted for internal fixation using a variable angle distal radius locking plate, ensuring anatomical reduction and early mobilization.

This case demonstrates how locking plate fixation can restore joint stability and function, especially in complex intra-articular fractures of the distal radius.
The surgery was efficient and completed with professional precision using CZMEDITECH orthopedic instruments.
Postoperative evaluation revealed excellent alignment, stable fixation, and early joint motion.

Implant Used:
VA Distal Radius Locking Plate (25.5 mm, 2-hole)

This distal radius plate surgery shows how biocompatible titanium alloy implants contribute to bone healing and minimize irritation to surrounding soft tissues.


The instruments included bone reduction forceps, drill guides, and screwdrivers specially designed for radius fracture fixation — ensuring high precision during the surgical process.
Note: The hospitals and doctors mentioned are pseudonyms.
Distal radius fractures are among the most common upper-limb injuries worldwide. Stable fixation with a variable angle distal radius plate is critical to maintain wrist motion and prevent postoperative complications.
The CZMEDITECH VA Locking Plate System offers optimized screw trajectory, high pull-out strength, and compatibility with minimally invasive surgical techniques. It's widely used for osteoporotic bone, comminuted fractures, and post-traumatic deformity correction.
By integrating precision engineering and biocompatible titanium, CZMEDITECH provides reliable solutions for orthopedic surgeons globally, bridging the gap between cost-effective and high-performance implants.
The success of this case in Mexico reflects a growing collaboration between Chinese orthopedic manufacturers and Latin American hospitals.
With CE and ISO 13485 certification, CZMEDITECH orthopedic implants are trusted in over 50 countries, including Mexico, Brazil, Colombia, and Chile.
Their trauma fixation systems, such as locking compression plates (LCP) and intramedullary nails, are designed to meet global clinical demands while maintaining affordable pricing for hospitals and distributors.
Mexico and other Latin American regions are witnessing rapid growth in orthopedic surgeries — especially distal radius fracture fixation and wrist trauma cases.
Hospitals are increasingly choosing locking plate technology because it enables strong fixation, early rehabilitation, and reliable outcomes.
This trend demonstrates the adoption of Chinese orthopedic products in international trauma markets, reinforcing CZMEDITECH's role as a trusted partner for surgical innovation.
A1: It's designed to treat fractures at the distal end of the radius bone, ensuring angular stability and supporting early wrist movement after trauma.
A2: The VA system allows surgeons to adjust screw directions for optimal fixation, making it suitable for complex and osteoporotic fractures.
A3: Each implant is produced under CE and ISO 13485-certified quality systems, using medical-grade titanium for biocompatibility and strength.
A4: Yes, the company supplies locking plates, trauma systems, and spine implants to hospitals across Latin America, Europe, and Asia.
A5: Visit www.czmeditech.com or email song@orthopedic-china.com for catalog requests, quotations, and technical support.
| Specification | Details |
|---|---|
| Product | VA Distal Radius Locking Plate |
| Material | Medical-Grade Titanium Alloy |
| Features | Variable Angle Design, Biocompatible, Stable Fixation |
| Use Case | Distal Radius and Wrist Fractures |
| Certification | CE, ISO 13485 |
| Manufacturer | CZMEDITECH (China) |
| Clinical Use | Mexico, Latin America |