Arthroplasty & Orthopedic
Clinical Success
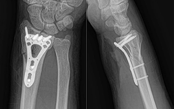
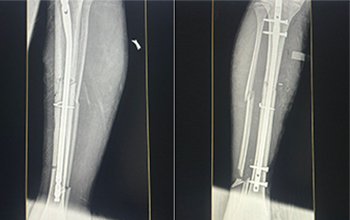
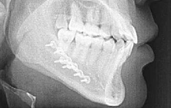
At CZMEDITECH, we are dedicated to providing reliable orthopedic solutions through real clinical success. Each surgical case reflects our continuous innovation in spinal fixation, trauma management, joint reconstruction, maxillofacial repair, and veterinary orthopedics. By integrating advanced manufacturing technology with the expertise of experienced surgeons, we ensure every implant delivers safety, precision, and long-term recovery.
Explore below a selection of clinical cases that demonstrate how our CE-certified implants help restore mobility, stability, and confidence in patients worldwide.

